Bỏ qua nội dung
Menu
Trang chủ
Các sản phẩm
Hệ thống Implant
Southern Implants
Vật liệu tái tạo xương
OsteoBiol®
Dụng cụ phẫu thuật
Reicodent
Medipac
Khoa học & Giáo dục
Ấn phẩm khoa học
Các khóa học
Blog
Dành cho bác sĩ
Dành cho bệnh nhân
Về chúng tôi
Giới thiệu
Đối tác
Liên hệ
Bảo tồn mô mềm và mô cứng trong ổ răng bị tổn thương
Giáo sư Antonio Barone
Facebook
Twitter
Linkedin
Tình hình
ban đầu
Một bệnh nhân nữ (54 tuổi) cho thấy răng bị gãy ở vị trí số 15.
Vật liệu sinh học
đã qua sử dụng
Derma
mp3®
Hình ảnh lâm sàng mặt nhai của một chiếc răng bị gẫy
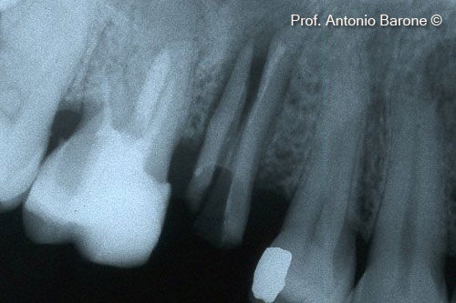
Hình ảnh X-Quang quanh chóp răng cho thấy răng bị gẫy
Hình ảnh lâm sàng từ phía má của một chiếc răng bị gẫy
Hình ảnh lâm sàng của một ổ răng mới bị mất hoàn toàn xương nền má
Hình ảnh lâm sàng mặt ngoài của ma trận Derma được cấy ghép vào mặt ngoài bằng vạt bao
Hình ảnh lâm sàng mặt ngoài của ma trận Derma được cấy ghép vào mặt ngoài bằng vạt bao
Hình ảnh lâm sàng mặt nhai của mảnh ghép xương ổ răng với chất nền mp3 và derma
Hình ảnh lâm sàng mặt nhai của một khuôn mẫu Derma được gấp về phía vòm miệng và cố định bằng các mũi khâu tự tiêu
Hình ảnh lâm sàng nhìn từ phía má của miếng ghép Derma được gấp về phía vòm miệng và cố định bằng các mũi khâu tự tiêu
Hình ảnh lâm sàng mặt nhai cho thấy quá trình lành thương sau 10 ngày
Hình ảnh lâm sàng mặt ngoài miệng cho thấy quá trình lành thương sau 10 ngày
Hình ảnh lâm sàng mặt nhai cho thấy quá trình lành thương sau 2 tháng
Hình ảnh lâm sàng mặt nhai cho thấy quá trình lành thương sau 5 tháng
Hình ảnh X-Quang chop răng 5 tháng sau khi cấy ghép răng
Hình ảnh lâm sàng của sống hàm sau 5 tháng lành thương. Mẫu sinh thiết xương đã được lấy
Hình ảnh lâm sàng của implant đã được cấy ghép. Đo độ dày xương mặt ngoài
Hình ảnh lâm sàn của các đường khâu
Chụp X-Quang quanh chóp răng kèm đặt implant
Hình ảnh lâm sàn mặt nhai sau khi bộc lộ implant
Trụ cấy ghép
Mão răng đơn lẻ 1 năm sau khi cấy ghép implant
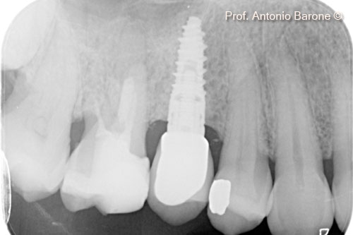
Hình ảnh X-Quang chóp răng 1 năm sau khi cấy ghép implant
Hình ảnh nhìn từ phía má 3 năm sau khi cấy ghép implant
Hình ảnh X-Quang chóp răng 3 năm sau khi cấy ghép implant
Hình ảnh lâm sàng mặt ngoài má 5 năm sau khi cấy ghép implant
Hình ảnh lâm sàng mặt nhai 5 năm sau khi cấy ghép implant
Hình ảnh lâm sàng mặt nhai 7 năm sau khi cấy ghép implant
Hình ảnh lâm sàng mặt ngoài má 7 năm sau khi cấy ghép implant
Hình ảnh X-Quang chóp răng 7 năm sau khi cấy ghép implant
Vật liệu sinh học đã qua sử dụng
Osteobiol
Derma
Osteobiol
mp3
Trang chủ
Các sản phẩm
Hệ thống Implant
Southern Implants
Vật liệu tái tạo xương
OsteoBiol®
Dụng cụ phẫu thuật
Reicodent
Medipac
Khoa học & Giáo dục
Ấn phẩm khoa học
Các khóa học
Blog
Dành cho bác sĩ
Dành cho bệnh nhân
Về chúng tôi
Giới thiệu
Đối tác
Liên hệ