Ma trận trung bì dị loại dùng cho tăng thể tích mô mềm

Màng Derma được tích hợp dần¹ với các mô mềm tự thân nhờ sự hiện diện của các sợi collagen tự nhiên². 

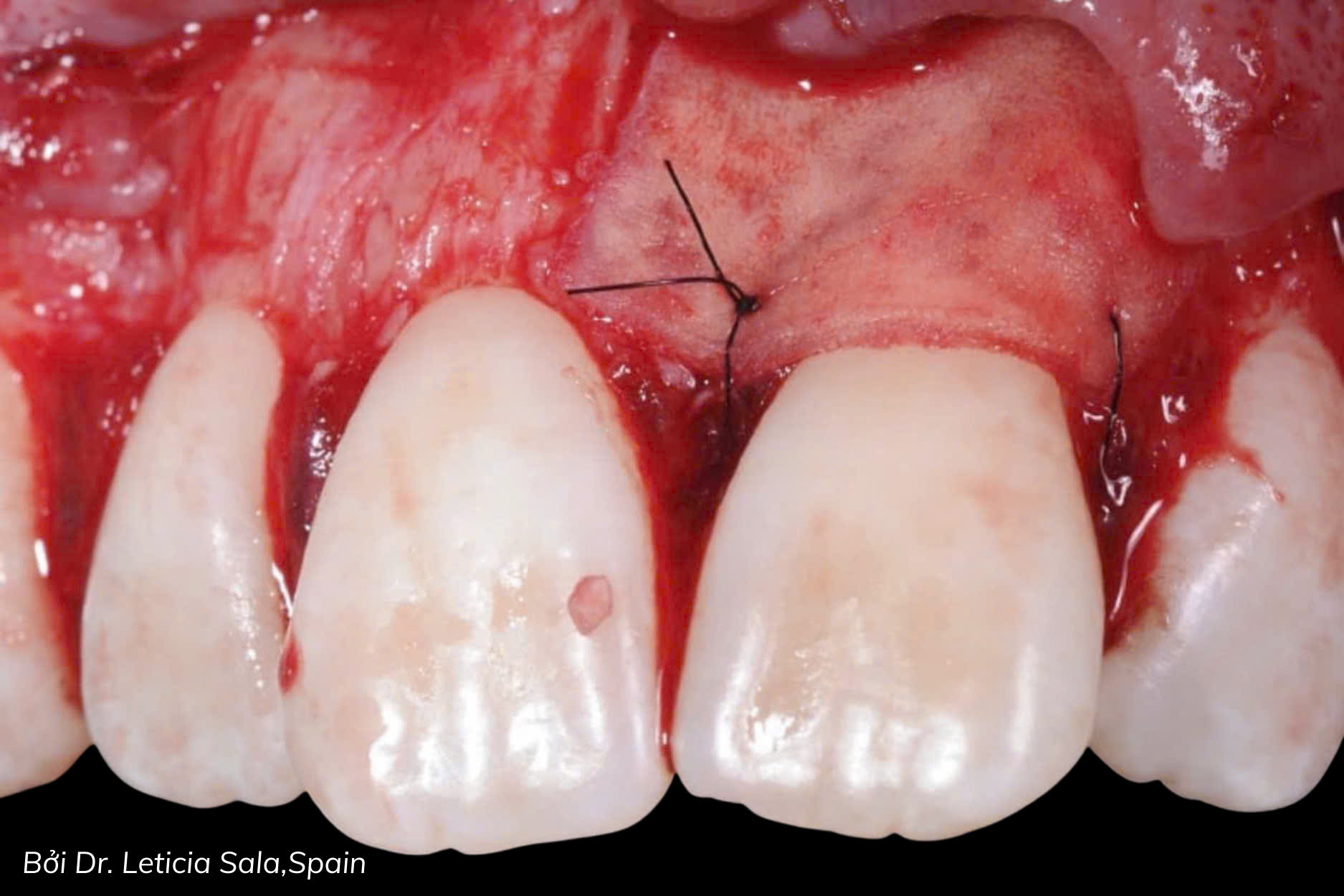
Nhờ đặc tính cơ học bền vững, màng Derma cho phép ổn định tối ưu và bảo vệ kéo dài vật liệu ghép bên dưới ⁽³⁾ trong các thủ thuật tái tạo ổ răng sau nhổ răng. Độ đặc chắc và ổn định cấu trúc của Derma giúp định hướng quá trình tái tạo mô mềm, đồng thời ngăn ngừa hiện tượng xâm nhập hoặc lõm vào của mô mềm. Là giải pháp thay thế cho ghép mô liên kết tự thân (CTG – Connective Tissue Graft), Derma được sử dụng để tăng cường thể tích mô mềm và cải thiện chất lượng mô sừng hóa ⁽⁴⁾ quanh răng tự nhiên và implant ⁽⁵⁾, đồng thời hỗ trợ điều trị các trường hợp tụt nướu mức độ nhẹ ⁽⁶–⁷⁾.

Tại sao nên chọn Derma ?

Ghép mô liên kết (CTG – Connective Tissue Graft) được xem là tiêu chuẩn vàng trong tăng cường mô mềm; tuy nhiên, mô mềm tự thân thường bị giới hạn về số lượng và có thể gây khó chịu sau phẫu thuật cho bệnh nhân. Derma là một giải pháp thay thế hiệu quả cho CTG trong tăng cường mô mềm quanh răng và implant ⁽⁸⁾, cũng như điều trị tụt nướu ⁽⁴–⁷⁾. Nhờ cấu trúc sợi collagen tự nhiên đậm đặc, Derma có độ bền cơ học cao, cho phép sử dụng như một màng che phủ nhằm đóng kín ổ răng và ổn định vật liệu ghép trong các thủ thuật tái tạo xương ổ răng ⁽³,⁹⁾. Trong những trường hợp này, màng có thể được để lộ (left exposed) mà không làm tăng nguy cơ nhiễm trùng ⁽³,⁹⁾.

Hướng dẫn thao thác Derma

Derma có thể được tạo hình bằng kéo phẫu thuật và cần được ngậm nước trong dung dịch sinh lý vô khuẩn cho đến khi đạt hình dạng và độ mềm dẻo mong muốn.

Tài liệu tham khảo
  1. Fickl S et al. Clin Oral Implants Res, 2015 tháng 7;26(7):799-805
  2. De Marco P và cộng sự. Vật liệu sinh học, 2017 13/09/12(5):055005
  3. Tallarico M và cộng sự. Eur J Oral Implantol, 2017;10(2):169-178
  4. Fischer KR et al. Quintessence Int, 2014 tháng 11-12;45(10):853-60
  5. Fischer KR et al. Clin Implant Dent Relat Res, 2019 tháng 10;21(5):923-930
  6. Fickl S et al. Quintessence Int, tháng 3 năm 2013;44(3):243-6
  7. Matoh U et al. Int J Periodontics Restorative Dent, 2019 tháng 5/tháng 6;39(3):439-446
  8. Triniti A và cộng sự. J Clinic Med, 2024 17 tháng 5;13(10):2954
  9. Tallarico M và cộng sự. Eur J Oral Implantol, 2016;9(3):263-275
     
  10.  

Thông số kỹ thuật

Mô tả: 

  • Màng collagen mật độ cao có nguồn gốc từ trung bì heo.

Nguồn gốc từ ngựa

Kích thước
Kiểu
Thời gian chờ tái phẫu thuật trung bình
ED15SS
5x5 mm
2 - 3 mm
Khoảng 5 tháng
ED75SS
7x5 mm
2 - 3 mm
Khoảng 5 tháng
ED75SS
20x20 mm
0,4 - 0,6 mm
Khoảng 1 tháng
ED25FS
25x25 mm
0,8 - 1 mm
Khoảng 3 tháng
ED03SS
30x30 mm
2 - 3 mm
Khoảng 5 tháng
ED05FS
50x50 mm
0,8 - 1 mm
Khoảng 3 tháng
ED05SS
50x50 mm
2 - 3 mm
Khoảng 5 tháng
ED21FS
Hình bầu dục 12x8 mm
0,8 - 1 mm
Khoảng 3 tháng

Video