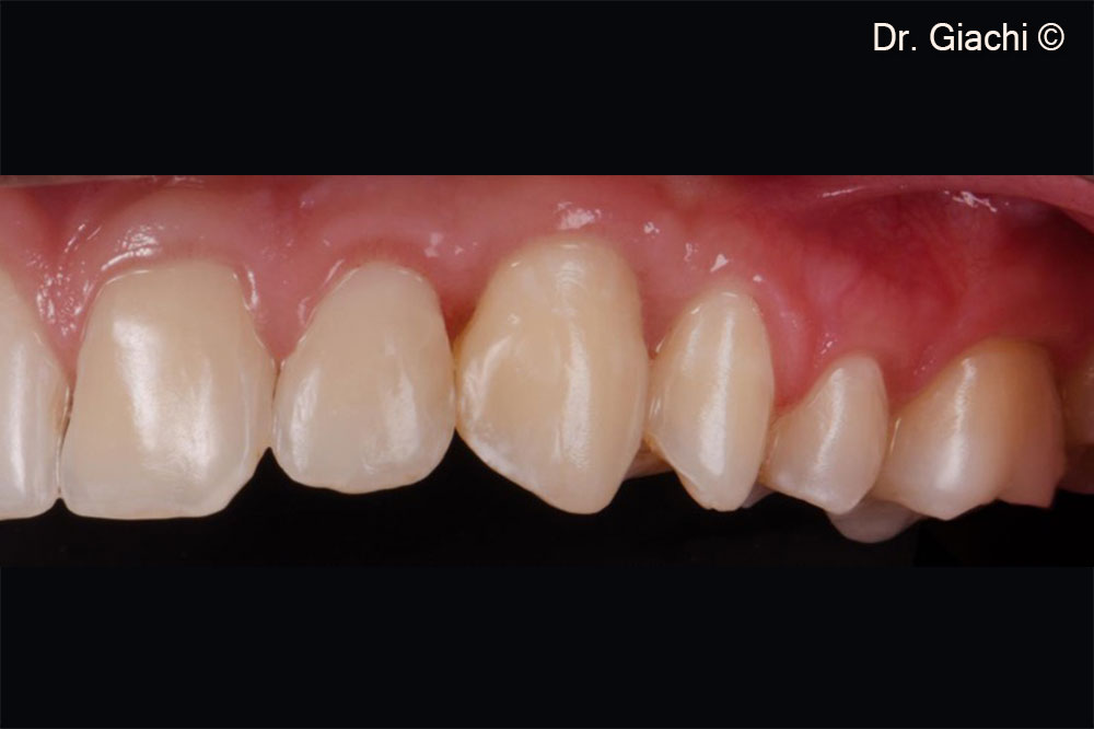
Tình hình ban đầu
Một bệnh nhân nam (16 tuổi) có răng nanh trên không thể phục hồi bằng phương pháp chỉnh nha truyền thống.
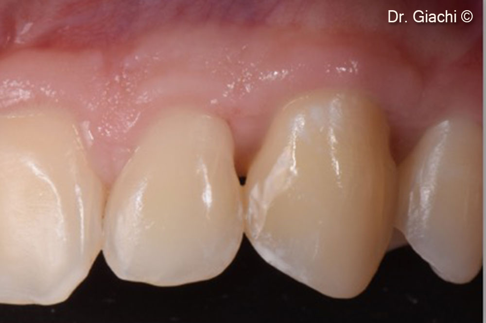
Vật liệu sinh học đã qua sử dụng
Gel-OS

















Một bệnh nhân nam (16 tuổi) có răng nanh trên không thể phục hồi bằng phương pháp chỉnh nha truyền thống.
Gel-OS
















