Tình hình ban đầu
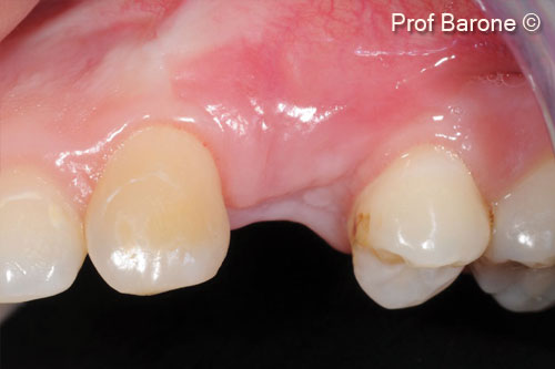
Một bệnh nhân nữ (27 tuổi) có biểu hiện nhiễm trùng cấp tính và mủ từ lỗ rò ở miệng.
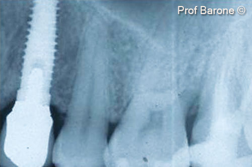
Vật liệu sinh học đã qua sử dụng
Evolution
mp3®





















Một bệnh nhân nữ (27 tuổi) có biểu hiện nhiễm trùng cấp tính và mủ từ lỗ rò ở miệng.
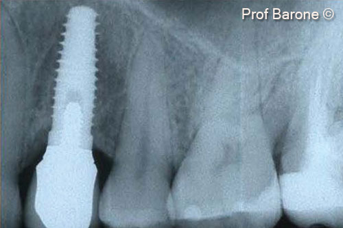
Evolution
mp3®




















