Bỏ qua nội dung
Menu
Trang chủ
Các sản phẩm
Hệ thống Implant
Southern Implants
Vật liệu tái tạo xương
OsteoBiol®
Dụng cụ phẫu thuật
Reicodent
Medipac
Khoa học & Giáo dục
Ấn phẩm khoa học
Các khóa học
Blog
Dành cho bác sĩ
Dành cho bệnh nhân
Về chúng tôi
Giới thiệu
Đối tác
Liên hệ
Điều trị tổn thương nha chu bằng phác đồ NIPSA và EPPT
Tiến sĩ Tom Kobe
Facebook
Twitter
Linkedin
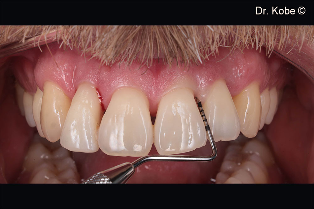
Tình hình
ban đầu
Một bệnh nhân nam (40 tuổi) có biểu hiện tổn thương nha chu nghiêm trọng.
Vật liệu sinh học
đã qua sử dụng
Gel-OS
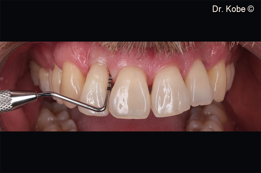
Tình hình ban đầu ở góc phần tư thứ nhất
Khuyết tật xương theo chiều dọc trên phim chụp X-Quang
Tình hình ban đầu ở góc phần tư thứ hai
Khuyết tật xương theo chiều dọc trên phim chụp X-Quang
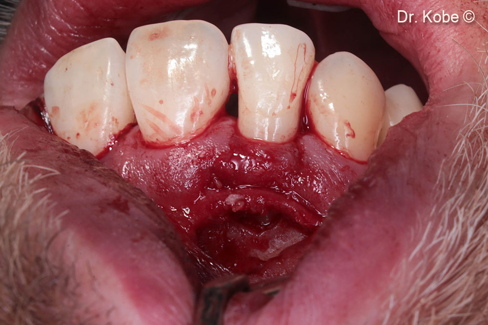
Rạch ngang (NIPSA) ở tiền đình
Truy cập vào lỗi
Khuyết tật được lấp đầy bằng Gen-OS
Vết thương được khâu bằng các mũi khâu gián đoạn
Rạch dọc (EPPT) tại răng liền kề
Khuyết tật được lấp đầy bằng Gen-OS
Vết thương được khâu bằng các mũi khâu gián đoạn
Vết thương lành hoàn toàn
Theo dõi một năm ở góc phần tư thứ nhất
Theo dõi một năm ở góc phần tư thứ hai
Hình ảnh X-Quang sau một năm điều trị
Hình ảnh X-Quang sau một năm điều trị
Vật liệu sinh học đã qua sử dụng
Osteobiol
Gen-Os
Trang chủ
Các sản phẩm
Hệ thống Implant
Southern Implants
Vật liệu tái tạo xương
OsteoBiol®
Dụng cụ phẫu thuật
Reicodent
Medipac
Khoa học & Giáo dục
Ấn phẩm khoa học
Các khóa học
Blog
Dành cho bác sĩ
Dành cho bệnh nhân
Về chúng tôi
Giới thiệu
Đối tác
Liên hệ