Bỏ qua nội dung
Menu
Trang chủ
Các sản phẩm
Hệ thống Implant
Southern Implants
Vật liệu tái tạo xương
OsteoBiol®
Dụng cụ phẫu thuật
Reicodent
Medipac
Khoa học & Giáo dục
Ấn phẩm khoa học
Các khóa học
Blog
Dành cho bác sĩ
Dành cho bệnh nhân
Về chúng tôi
Giới thiệu
Đối tác
Liên hệ
Điều trị tổn thương nha chu bằng kỹ thuật bảo tồn nhú lợi cải tiến
Tiến sĩ Gerd Körner
Facebook
Twitter
Linkedin
Tình hình
ban đầu
Bệnh nhân nam (61 tuổi) có tổn thương nha chu ở vùng thẩm mỹ.
Vật liệu sinh học
đã qua sử dụng
Evolution
mp3®
Khuyết tật nha chu khu trú 11
Súng ngắn bỏ túi 9mm
Chụp X-quang ban đầu
Rạch da theo kỹ thuật bảo tồn nhú lợi cải tiến
Nạo chân tóc bằng đầu kim cương Piezo
Lỗi được khắc phục bằng mp3® và màng Evolution được thiết kế riêng
Tình trạng lâm sàng 4 tháng sau phẫu thuật, có nẹp cố định.
Tình trạng chụp X-quang 4 tháng sau phẫu thuật với nẹp cố định.
Tháo nẹp trước khi phục hình kẽ răng.
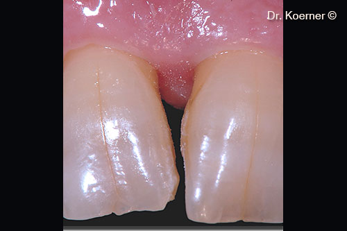
Tình trạng lâm sàng 6 tháng sau phẫu thuật
Tình trạng lâm sàng 10 năm sau phẫu thuật
Tình trạng chụp X-quang 10 năm sau phẫu thuật.
Phục hình cuối cùng bằng mặt dán sứ 13-23
Vật liệu sinh học đã qua sử dụng
Osteobiol
Evolution
Osteobiol
mp3
Trang chủ
Các sản phẩm
Hệ thống Implant
Southern Implants
Vật liệu tái tạo xương
OsteoBiol®
Dụng cụ phẫu thuật
Reicodent
Medipac
Khoa học & Giáo dục
Ấn phẩm khoa học
Các khóa học
Blog
Dành cho bác sĩ
Dành cho bệnh nhân
Về chúng tôi
Giới thiệu
Đối tác
Liên hệ