Bỏ qua nội dung
Menu
Trang chủ
Các sản phẩm
Hệ thống Implant
Southern Implants
Vật liệu tái tạo xương
OsteoBiol®
Dụng cụ phẫu thuật
Reicodent
Medipac
Khoa học & Giáo dục
Ấn phẩm khoa học
Các khóa học
Blog
Dành cho bác sĩ
Dành cho bệnh nhân
Về chúng tôi
Giới thiệu
Đối tác
Liên hệ
Điều trị tình trạng tụt nướu ở hàm dưới
Giáo sư Rok Gašperšič
Facebook
Twitter
Linkedin
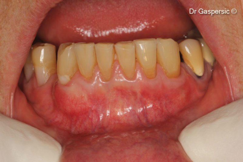
Tình hình
ban đầu
Một bệnh nhân nữ (55 tuổi) có biểu hiện tụt nướu ở hàm dưới.
Vật liệu sinh học
đã qua sử dụng
Derma
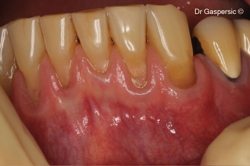
Điều kiện ban đầu
Các khuyết tật do suy thoái và sói mòn
Các khuyết tật do suy thoái và sói mòn
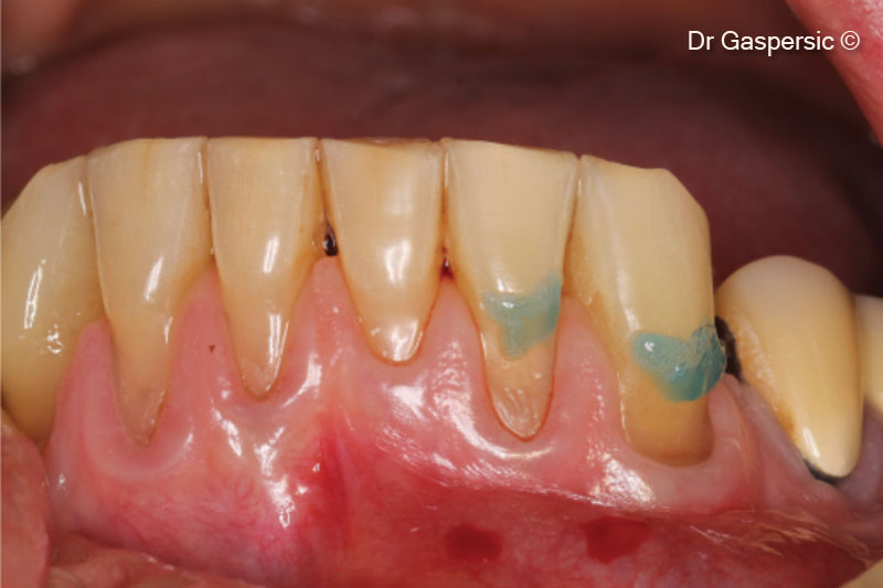
Khắc men răng trước khi phục hồi các khuyết tật men răng
Phục hồi các khuyết tật men răng bằng vật liệu composite
Nâng vạt da có độ dày chia đôi
Loại bỏ các nhú
Hình chiếu mặt nhai
Khâu da Derma bằng mũi khâu kiểu nệm vào màng xương
Cả 2 vết khâu nệm dọc đều ở đúng vị trí
Các mũi khâu ngang nén bổ sung
Khâu vết thương
Quá trình phục hồi sau 1 tuần
Theo dõi trong 2 năm
Toàn bộ khu vực sau 2 năm phẫu thuật
Vật liệu sinh học đã qua sử dụng
Osteobiol
Derma
Trang chủ
Các sản phẩm
Hệ thống Implant
Southern Implants
Vật liệu tái tạo xương
OsteoBiol®
Dụng cụ phẫu thuật
Reicodent
Medipac
Khoa học & Giáo dục
Ấn phẩm khoa học
Các khóa học
Blog
Dành cho bác sĩ
Dành cho bệnh nhân
Về chúng tôi
Giới thiệu
Đối tác
Liên hệ