Bỏ qua nội dung
Menu
Trang chủ
Các sản phẩm
Hệ thống Implant
Southern Implants
Vật liệu tái tạo xương
OsteoBiol®
Dụng cụ phẫu thuật
Reicodent
Medipac
Khoa học & Giáo dục
Ấn phẩm khoa học
Các khóa học
Blog
Dành cho bác sĩ
Dành cho bệnh nhân
Về chúng tôi
Giới thiệu
Đối tác
Liên hệ
Điều trị ổ răng sau khi nhổ răng
Giáo sư Antonio Barone
Facebook
Twitter
Linkedin
Tình hình
ban đầu
Một bệnh nhân nam (53 tuổi) cho thấy răng bị gãy.
Vật liệu sinh học
đã qua sử dụng
Evolution
mp3®
Hình chiếu mặt nhai. Răng số 26
X quang quanh chóp
Ổ răng mới nhổ được ghép mô MP3 và màng Evolution.
Quá trình hồi phục sau 4 tháng.
Cấy ghép implant sau 5 tháng
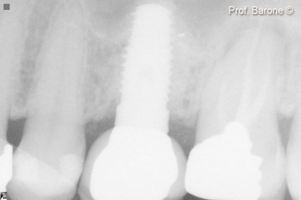
Hình ảnh X-quang quanh chóp răng ngay sau khi cấy ghép implant
Trụ lành thương, nhìn từ mặt nhai
Phục hình cuối cùng, Hình chiếu mặt nhai
Hình ảnh X-quang quanh chóp răng sau khi lắp răng giả.
Phục hình cuối cùng sau 3 năm theo dõi.
Phục hình cuối cùng sau 3 năm theo dõi.
Hình ảnh X-quang quanh chóp răng sau 3 năm theo dõi.
Vật liệu sinh học đã qua sử dụng
Osteobiol
Evolution
Osteobiol
mp3
Trang chủ
Các sản phẩm
Hệ thống Implant
Southern Implants
Vật liệu tái tạo xương
OsteoBiol®
Dụng cụ phẫu thuật
Reicodent
Medipac
Khoa học & Giáo dục
Ấn phẩm khoa học
Các khóa học
Blog
Dành cho bác sĩ
Dành cho bệnh nhân
Về chúng tôi
Giới thiệu
Đối tác
Liên hệ