Bỏ qua nội dung
Menu
Trang chủ
Các sản phẩm
Hệ thống Implant
Southern Implants
Vật liệu tái tạo xương
OsteoBiol®
Dụng cụ phẫu thuật
Reicodent
Medipac
Khoa học & Giáo dục
Ấn phẩm khoa học
Các khóa học
Blog
Dành cho bác sĩ
Dành cho bệnh nhân
Về chúng tôi
Giới thiệu
Đối tác
Liên hệ
Điều trị khuyết tật loại V bằng kỹ thuật Shell cải tiến
Giáo sư Arndt Happe
Facebook
Twitter
Linkedin
Tình hình
ban đầu
Một bệnh nhân nữ (28 tuổi) có khuyết tật theo chiều dọc ở vùng thẩm mỹ.
Vật liệu sinh học
đã qua sử dụng
Lamina
®
Tình trạng lâm sàn ban đầu, mất răng cửa giữa bên phải. Sau chấn thương thời thơ ấu, răng bị giữ lại và tiêu xương ngoài
Ảnh chụp màn hình quá trình quét CBST. Khuyết tật loại V với thành vòm miệng bị thiếu
Hình ảnh trong quá trình phẫu thuật cho thấy khuyết tật theo chiều dọc
Một phần của Lamina được cố định ở phía má bằng một vít cố định xương đường kính 1mm
Khoảng trống được tạo ra bởi 2 lớp vỏ dị chủng được lấp đầy bằng các mảnh xương tự thân
Khâu kín mô mềm một cách tỉ mỉ
Quá trình lành vết thương sau 4 tháng
Sự tái tạo sống hàm và sự liền xương của bản xương sau 4 tháng
Hình ảnh nhìn từ mặt nhai của sống hàm đã tái tạo
Đã cấy ghép implant đường kính 3.8mm. Sẵn sàng qua quá trình lành thương qua niêm mạc
Tình trạng sau phẫu thuật đặt túi độn và nâng mô mềm
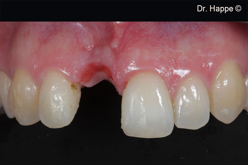
6 tháng sau khi hoàn tất phục hình impant
Hình ảnh X-Quang quanh chóp của phục hình cuối cùng
Vật liệu sinh học đã qua sử dụng
Osteobiol
Lamina
Trang chủ
Các sản phẩm
Hệ thống Implant
Southern Implants
Vật liệu tái tạo xương
OsteoBiol®
Dụng cụ phẫu thuật
Reicodent
Medipac
Khoa học & Giáo dục
Ấn phẩm khoa học
Các khóa học
Blog
Dành cho bác sĩ
Dành cho bệnh nhân
Về chúng tôi
Giới thiệu
Đối tác
Liên hệ