Bỏ qua nội dung
Menu
Trang chủ
Các sản phẩm
Hệ thống Implant
Southern Implants
Vật liệu tái tạo xương
OsteoBiol®
Dụng cụ phẫu thuật
Reicodent
Medipac
Khoa học & Giáo dục
Ấn phẩm khoa học
Các khóa học
Blog
Dành cho bác sĩ
Dành cho bệnh nhân
Về chúng tôi
Giới thiệu
Đối tác
Liên hệ
Điều trị khuyết tật chẽ chân răng hàm trên cấp độ III và khuyết tật góc ở bệnh nhân viêm nha chu giai đoạn IV độ C.
Tiến sĩ Gabriella Grusovin
Facebook
Twitter
Linkedin
Tình hình
ban đầu
Một bệnh nhân nam (37 tuổi) có tổn thương nha chu ở hàm trên.
Vật liệu sinh học
đã qua sử dụng
Gel-OS
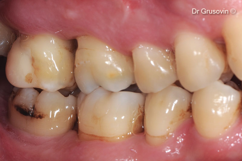
Bệnh nhân khỏe mạnh, không hút thuốc, hình ảnh lâm sàng trong miệng (vùng má).
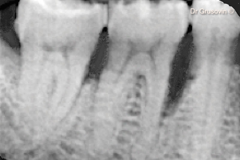
Tăng số 16 quan trọng, tổn thương vùng chẻ nhánh III, vùng tiền đình xa
Hình ảnh X-Quang số 16
Quan sát lâm sàng trong quá trình phẫu thuật: tổn thương vùng tiền đình và nhánh chẻ III xa.
OsteoBiol® Gen-Os® được cấy ghép vào tiền đình
OsteoBiol® Gen-Os® được cấy ghép vào tiền đình.
Khâu đóng vạt bảo tồn nhú
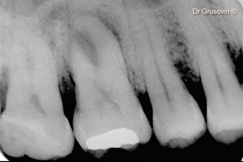
Chụp X-quang sau 1 năm theo dõi.
Sự hình thành xương ở khuyết tật chẽ chân răng số 16 sau 1 năm theo dõi.
Ảnh chụp X-quang #46
OsteoBiol® Gen-Os® được sử dụng để lấp đầy khuyết tật hai thành. Nhú lợi không bị nâng lên.
Phương pháp đóng một vạt da duy nhất
Tình hình lâm sàng sau 7 năm theo dõi.
Tình hình lâm sàng sau 7 năm theo dõi.
Ảnh chụp X-quang trước và sau 7 năm theo dõi.
Vật liệu sinh học đã qua sử dụng
Osteobiol
Gen-Os
Trang chủ
Các sản phẩm
Hệ thống Implant
Southern Implants
Vật liệu tái tạo xương
OsteoBiol®
Dụng cụ phẫu thuật
Reicodent
Medipac
Khoa học & Giáo dục
Ấn phẩm khoa học
Các khóa học
Blog
Dành cho bác sĩ
Dành cho bệnh nhân
Về chúng tôi
Giới thiệu
Đối tác
Liên hệ