Phục hồi chức năng, nha chu, phục hình và thẩm mỹ phức tạp cho bệnh nhân bị viêm nha chu nặng

Tiến sĩ Christopher Köttgen

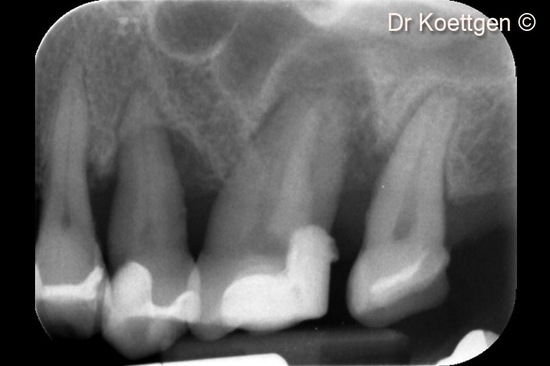
Tình hình ban đầu

Sau khi nhổ răng, bệnh nhân nữ (63 tuổi) cần tăng cường mô cứng và mô mềm.

Vật liệu sinh học đã qua sử dụng

Apatos®
Lamina®

Vật liệu sinh học đã qua sử dụng