Bỏ qua nội dung
Menu
Trang chủ
Các sản phẩm
Hệ thống Implant
Southern Implants
Vật liệu tái tạo xương
OsteoBiol®
Dụng cụ phẫu thuật
Reicodent
Medipac
Khoa học & Giáo dục
Ấn phẩm khoa học
Các khóa học
Blog
Dành cho bác sĩ
Dành cho bệnh nhân
Về chúng tôi
Giới thiệu
Đối tác
Liên hệ
Điều trị tổn thương nha chu theo phác đồ NIPSA.
Tiến sĩ Tom Kobe
Facebook
Twitter
Linkedin
Tình hình
ban đầu
Một bệnh nhân nữ (55 tuổi) có tổn thương nha chu nghiêm trọng ở hàm trên.
Vật liệu sinh học
đã qua sử dụng
Gel 40
Tình hình ban đầu
Khuyết tật xương theo chiều dọc trên phim chụp X-Quang
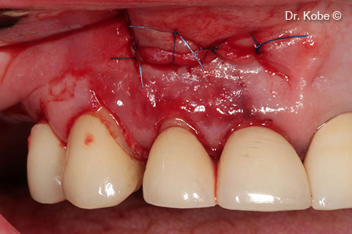
Rạch ngang (NIPSA) ở tiền đình
Truy cập vào lỗi
Cạo vôi răng và làm sạch chân răng
Bề mặt rễ được làm sạch
Vết khuyết được lấp đầy bằng Gel 40
Vết khuyết được lấp đầy bằng Gel 40
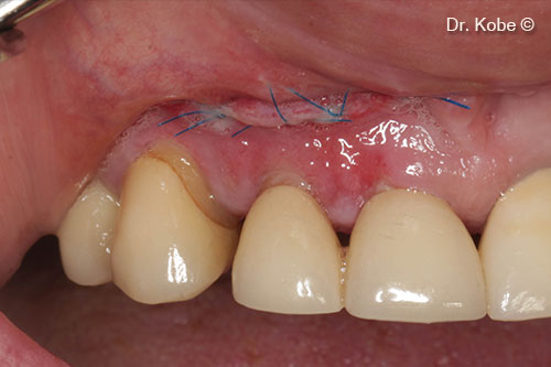
Vết thương được khâu bằng mũi khâu gián đoạn
Vết thương lành hoàn toàn sau 1 tuần
2 tuần sau phẫu thuật
Khuyết tật xương theo chiều dọc trên phim chụp X-Quang
Hình ảnh X-Quang sau 1 năm điều trị
Theo dõi 1 năm
Vật liệu sinh học đã qua sử dụng
Trang chủ
Các sản phẩm
Hệ thống Implant
Southern Implants
Vật liệu tái tạo xương
OsteoBiol®
Dụng cụ phẫu thuật
Reicodent
Medipac
Khoa học & Giáo dục
Ấn phẩm khoa học
Các khóa học
Blog
Dành cho bác sĩ
Dành cho bệnh nhân
Về chúng tôi
Giới thiệu
Đối tác
Liên hệ