Bỏ qua nội dung
Menu
Trang chủ
Các sản phẩm
Hệ thống Implant
Southern Implants
Vật liệu tái tạo xương
OsteoBiol®
Dụng cụ phẫu thuật
Reicodent
Medipac
Khoa học & Giáo dục
Ấn phẩm khoa học
Các khóa học
Blog
Dành cho bác sĩ
Dành cho bệnh nhân
Về chúng tôi
Giới thiệu
Đối tác
Liên hệ
Điều trị tổn thương nha chu bằng kỹ thuật bảo tồn toàn bộ nhú lợi (EPPT)
Tiến sĩ Tom Kobe
Facebook
Twitter
Linkedin
Tình hình
ban đầu
Một bệnh nhân nữ (49 tuổi) có biểu hiện khiếm khuyết nha chu.
Vật liệu sinh học
đã qua sử dụng
Gel 40
Theo dõi 1 năm
Rạch dọc ở răng liền kề, bảo tồn nhú lợi
Sự hình thành đường hầm ở nhú
Tiếp cận và làm sạch khu vực bị lỗi
Vết khuyết được lấp đầy bằng Gel 40
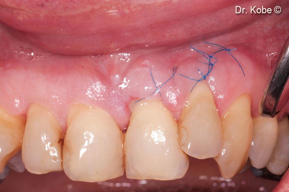
Khâu vết thương bằng vết khâu đơn giản gián đoạn
Theo dõi 1 tuần
Theo dõi 1 năm
Khuyết tật theo chiều dọc có thể nhìn thấy trên phim chụp X-Quang
Hình ảnh X-Quang sau 1 năm điều trị
Vật liệu sinh học đã qua sử dụng
Trang chủ
Các sản phẩm
Hệ thống Implant
Southern Implants
Vật liệu tái tạo xương
OsteoBiol®
Dụng cụ phẫu thuật
Reicodent
Medipac
Khoa học & Giáo dục
Ấn phẩm khoa học
Các khóa học
Blog
Dành cho bác sĩ
Dành cho bệnh nhân
Về chúng tôi
Giới thiệu
Đối tác
Liên hệ