Một bệnh nhân nữ (62 tuổi) cần phục hồi chức năng hàm trên.
Vật liệu sinh học đã qua sử dụng
Gen-Os ® Apatos ® Lamina ®
Đánh giá hình ảnh X-Quang trong lần khám tư vấn
Kết quả chụp cắt lớp vi tính chùm tia hình nón sau 4 tháng lành thương
Hình ảnh lâm sàng của khuyết tật
Thiết kế lắp gập
Thiết kế lắp gập
Độ khít của khuôn mẫu phẫu thuật có gắn răng được kiểm tra cẩn thận
Chuẩn bị vị trí cấy ghép
Đặt cấy ghép
Hình ảnh nhìn từ mặt nhai của khuyết tật xương nằm ngang xung quanh các implant nha khoa
Lamina được thiết kế phù hợp với khuyết tật
Hỗn hợp Gen-OS, Apatos và chất keo Fibrin
Hỗn hợp Gen-OS, Apatos và chất keo Fibrin được đặt đúng vị trí
Hỗn hợp Gen-OS, Apatos và chất keo Fibrin được đặt đúng vị trí
Chất keo fibrin được bôi lên các mảnh xương để tạo điều kiện cho sự bám dính của Lamina
Lemina được đặt vào với lực ấn nhẹh
Lemina được đặt vào với lực ấn nhẹh
Khâu vạt da sau phẫu thuật tái tạo mô có hướng dẫn (GBR)
Chụp cắt lớp vi tính chùm tia hình nón sau phẫu thuật
Quá trình lành mô mềm sau 5 tháng. Vùng được nâng đỡ đang lành lại
Quá trình lành mô mềm sau 5 tháng. Đánh giá mô mềm của răng liền kề
Phẫu thuật giai đoạn 2. Thiết kế vạt da
Tháo bỏ Lamina
Tái tạo xương sau khi loại bỏ Lamina
Sinh thiết xương
Sinh thiết xương
Tăng thể tích mô mềm tại răng liền kề
Tăng thể tích mô mềm tại răng liền kề
Khâu vạt da
Khâu vạt da
Chụp cắt lớp vi tính chùm tia hình nón sau phẫu thuật giai đoạn 2
Hình ảnh ba chiều chồng chéo từ ảnh CBCT sau phẫu thuật giai đoạn một (màu xám) và giai đoạn hai (màu đỏ) bằng phần mềm Romasix
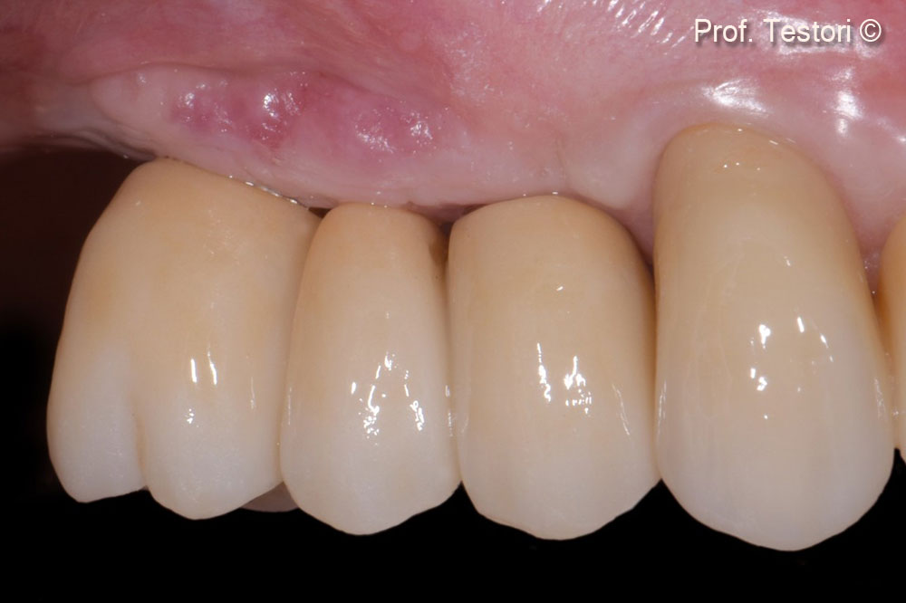
Hình ảnh mặt ngoài má cho thấy quá trình lắp đặt hàm giả hoàn chỉnh
Việc lắp đặt hàm giả hoàn chỉnh được thực hiện qua đường nhìn từ vòm miệng
Hình ảnh X-Quang quanh chóp răng khi hoàn tất việc bọc mão răng sau 4 tháng
Hình ảnh này cho thấy các hạt Gen-OS được bao quanh hoàn toàn bởi xương mới hoàn thành. Vật liệu sinh học này không chứa tế bào nhưng có các đặc tính tương tự như xương, do đó, xương mới đang hình thành xung quanh các hạt này